正当我们准备庆祝春节时,最后一例病例出现了心律失常,这是我们临床中不常见的情况。
这是一只 14 岁的拉布拉多犬,因为运动耐力下降及发现异常心律而被转诊进行进一步评估。
检查摘要
血液检查
血液检查结果在正常范围内,未发现明显异常。
胸部 X 光
在主动脉下行段附近可见一个椭圆形结构。建议进一步影像学检查(如 CT 扫描)以排除肿块或其他结构异常。同时,可见脊柱骨刺。
血压
血压最初升高,但随后恢复正常。这提示可能是应激性(情境性)高血压,而非持续性系统性高血压。
心电图(ECG)
ECG 显示心率持续偏快,约 160 次/分钟,并伴有不规则节律。ST 段压低提示可能存在心肌缺氧。
重点
节律不是大型犬常见的房颤。
每个 QRS 波之前均可见 P 波。但是P-P间期不固定。
最终诊断为心房性心动过速(atrial tachycardia)。
什么是心房性心动过速?
心脏通常由自然起搏点控制节律。在心房性心动过速中,心房的其他区域产生快速电信号,使心脏跳动过快。
心跳过快时:
心脏在心搏之间的充血时间减少。
血液输出量下降。
长期持续的快速心律可能削弱心肌功能。
为了排除检查应激的影响,我们使用 CardioBird Vital Monitoring 持续监测狗的心律,同时与主人讨论检查结果。我们更加确信心率升高是病理性而非应激引起。

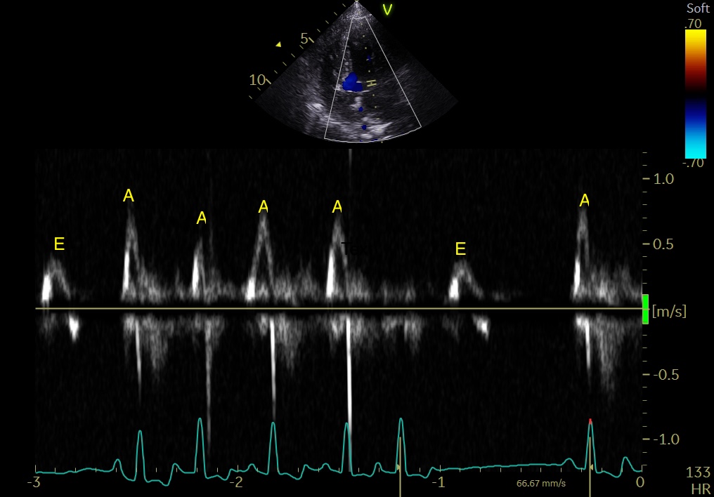
超声心动图
超声心动图显示左心室收缩减弱,并伴有运动异常(dyskinesia,不受控的运动)。但未见扩张型心肌病(大型犬常见的心肌疾病)。收缩功能减弱被认为与持续的快速且不规则的心律有关。
可能的潜在原因
心房性心动过速可能是继发于其他疾病,而非原发心脏病。可能的诱因包括:
肿瘤
系统性炎症
甲状腺功能亢进
慢性疼痛或应激
电解质失衡





